Throat pain and tonsillitis treatment

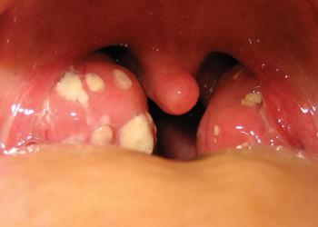
Throat pain and tonsillitis are common conditions that cause sore throat, difficulty swallowing, fever and swollen tonsils. Causes range from viral infections to bacterial infections such as streptococcal pharyngitis. Prompt evaluation identifies the cause and ensures appropriate medical or surgical treatment to relieve symptoms and prevent complications.

Treatments Offered

We provide evidence-based care for acute and recurrent throat infections, including:

  • Medical Management: Symptomatic care for viral sore throat and targeted antibiotics when bacterial infection is confirmed.

  • Rapid Strep Testing & Throat Culture: Point-of-care testing to identify streptococcal infection and guide antibiotic therapy.

  • Tonsillectomy Assessment: Evaluation and counselling for surgical removal of tonsils in cases of recurrent, severe or complicated tonsillitis.

  • Abscess Management (Peritonsillar/Retropharyngeal): Drainage and appropriate antibiotics for abscesses that cause severe pain, trismus or airway compromise.

  • Voice & Swallowing Advice: Guidance on voice rest, hydration, and strategies to ease swallowing discomfort.

  • Follow-up & Prevention Planning: Review of recurrent episodes, allergy evaluation or referral for specialist care when needed.

Symptoms & Causes

You should seek evaluation if you experience:

  • Severe sore throat, difficulty swallowing or drooling

  • High fever, swollen or pus-covered tonsils

  • Hoarseness, muffled voice or difficulty breathing

  • Recurrent throat infections affecting quality of life or school/work attendance

Common causes include viral infections (e.g., cold, influenza), streptococcal bacteria, tonsillar stones, allergies, smoking, reflux and immunological factors. Examination, rapid testing and throat culture guide accurate diagnosis.

Prevention & Aftercare

To reduce recurrence and support recovery, we recommend:

  • Good hand hygiene and avoiding close contact during infectious periods

  • Completing prescribed antibiotic courses when indicated

  • Hydration, warm saline gargles and voice rest during recovery

  • Discussing tonsillectomy if infections are frequent, severe or complicated

  • Follow-up review for recurrent or atypical infections to investigate underlying causes

Book an Appointment
Go Back Top